
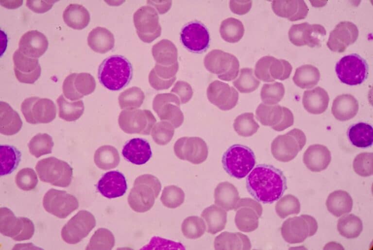
Νέα, πολλά υποσχόμενη θεραπεία, αποτελεί το Pirtobrutinib για τους προθεραπευμένους ασθενείς με χρόνια λεμφοκυτταρική λευχαιμία!
Η σύγχρονή αντιμετώπιση των ασθενών που πάσχουν από χρόνια λεμφογενή λευχαιμία (ΧΛΛ) και οι οποίοι έχουν ένδειξη για θεραπευτική αντιμετώπιση, στηρίζεται στη χορήγηση αναστολέων της

